Mar 1, 2020 - Health
Washington state officials confirm second coronavirus death in U.S.
Add Axios as your preferred source to
see more of our stories on Google.

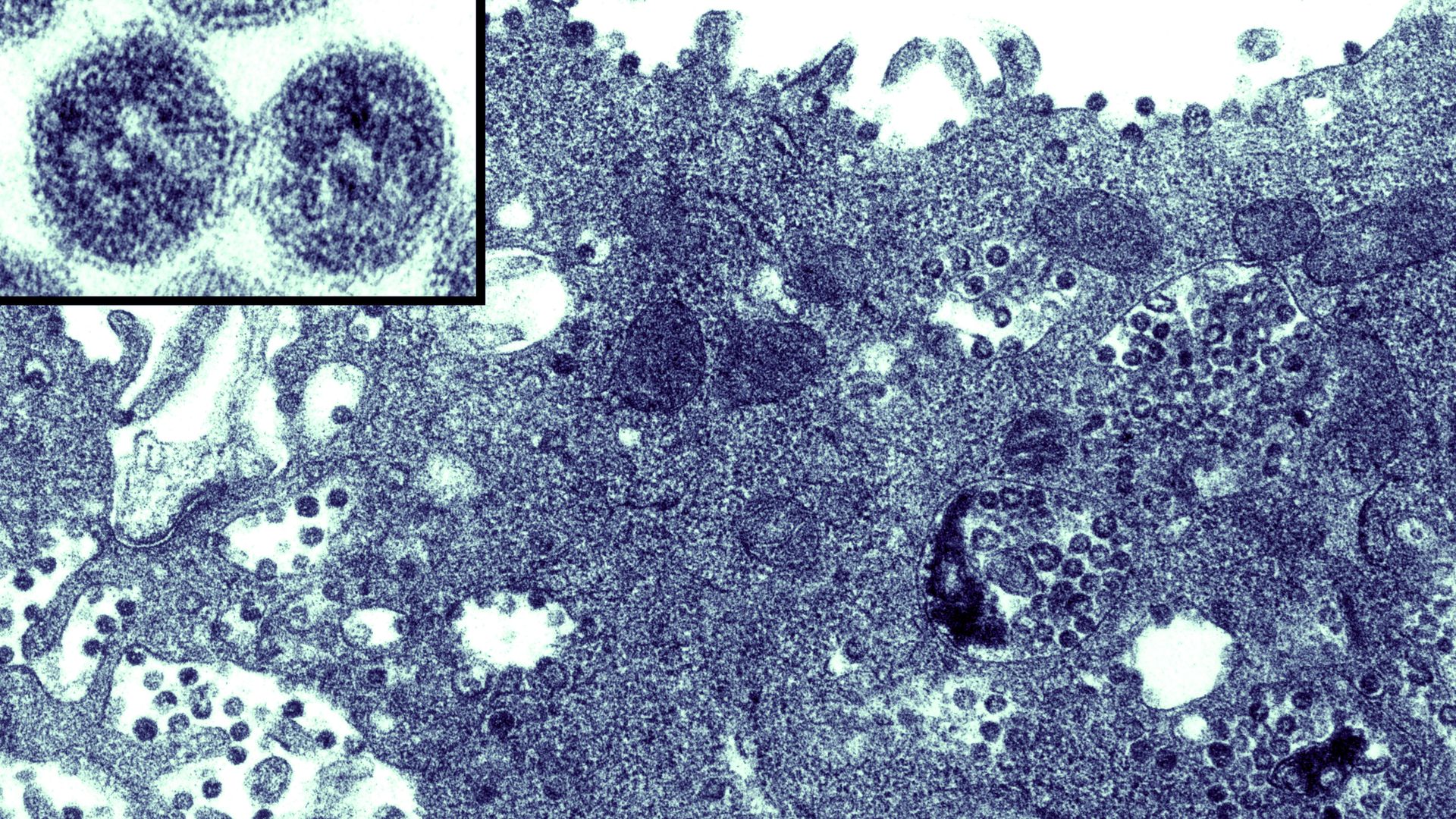
Coronavirus contained within the endoplasmatic reticulum of a vero E6 cell. Photo: BSIP/UIG Via Getty Images
