Jun 9, 2017

New cancer drug attacks tumors regardless of where they are

Add Axios as your preferred source to

see more of our stories on Google.

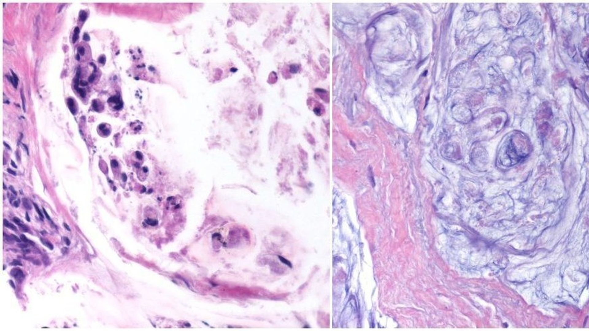
Live cancer before treatment (l)/ Dead cancer after treatment (r)

What to read next